【新型コロナ】ウイルスが脳に大きな後遺症を与える可能性
|
|
|
1: 富豪立て子 ★ 2020/05/01(金) 01:33:58.05 ID:IusGTcON9
最新の研究により、新型コロナウイルスの正体はただの肺炎ではなく、全身の血管に感染する「全身性血管炎症」であることが分かりました。
しかし感染者が増えるに従って、呼吸器系や血管系(循環系)とは異なる「神経系の症状」がみられるケースが増加しています。
そこで、複数の研究チームが新型コロナウイルスが脳に感染するかどうかを調べた結果、鼻腔や肺の神経を遡って中枢神経に到達するほか、脳関門を突破して血管から脳へ侵入する能力があることが示唆されました。
また中国では、重症化した人間の3人に1人が不注意や見当識障害から、排尿が困難になるなどの後遺症が報告されています。
脳への感染を示唆する3つの研究報告

2月27日、中国の研究者によって新型コロナウイルスが脳に感染する可能性が言及されました。
かつて流行したSARSやMERSには脳に感染することが知られており、SARSやMERSと類似点が多い新型コロナウイルスにも神経系への感染力が疑われたからです。
4月10日には、感染者の約36%で神経症の症状がみられ、そのうち68%は中枢神経にかかわる深刻な症状を発症するとの報告があがります。
特に重傷者では顕著であり、脳血管症・脳卒中・意識障害・四肢のけいれんなどが発生しました。
また、急性脳血管症で緊急搬送され後にウイルス陽性が確定した何人かの患者には、典型的な新型コロナウイルスの症状(発熱や咳など)が全くみられませんでした。
これはウイルスが呼吸器系へのダメージよりも早く、脳でのダメージを広げていたことを示唆します。
この奇妙な事例がウイルスの変異、もしくは患者の遺伝的特性によるものなのかはまだわかっていません。しかし、もし変異によるウイルスの新たな特性であるならば、ウイルスがメインターゲットを呼吸器系や血管系から中枢神経へと切り替え、重大な強毒化が起きたことになります。
4月15日には、ウイルス感染により神経症を発生させた患者の後遺症についての研究報告もあがってきました。
この研究でも、重症患者で神経症が高い確率で発症した点に言及したほか、重症化した患者の3割が退院後も不注意や見当識障害から、トイレで排尿を正しく行えなくなるなどの、深刻な後遺症が発生したことを報告しました。
ウイルスにより脳がダメージを受ける仕組み
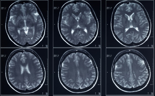
生活習慣病を抱えていたり高齢である場合は、ウイルスが破壊した血管で形成される血栓に対して脳は脆弱になり、脳梗塞を起こしやすくなる/Credit:富士脳障害研究所附属病院
上にあげたように、複数の研究でウイルスが脳にダメージを与えることがわかりました。
ウイルスが脳へダメージを与える仕組みとして考えられているものには、次の3パターンが存在します。
1つ目は、ウイルスが血管に感染したことで血管が損傷して血栓を生成され、それが脳血管をつまらせた可能性です。
これは現在最も広く知られている事例です。特に生活習慣病をもつ人や高齢者など、血管が弱っている人はウイルスの血管に対する攻撃に脆弱で、より多くの血栓を生成してしまいます。
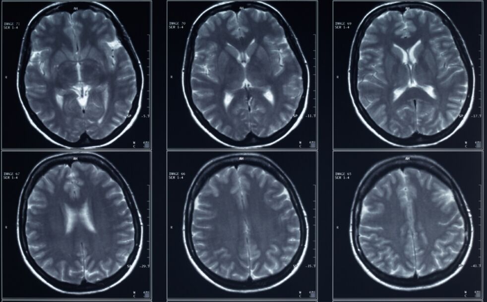
画像は人間の壊死を起こした脳。マウスを使った実験では鼻腔の神経を遡ってウイルスが脳に到達したことがわかっている/Credit:Clinical Infectious Diseases
また第2には、ウイルスが鼻腔や肺の神経から遡って脳に到達した可能性です。
これは新型コロナウイルスの仲間であるSARSやMERSが脳に侵入するためにとった手段と同じです。
SARSやMERSの患者の脳細胞からは実際にウイルス粒子が検出されました。
新型コロナウイルスはSARSやMERSと同じ種類のウイルスであり、ゆえに侵入方法も同じ可能性があります。
またウイルス感染により、多くの重症者から自律的な呼吸能力が失われることが知られており、呼吸を制御する脳幹にウイルスが感染している可能性も示唆されています。
そして第3には、ウイルスが脳関門を突破して血管から脳に感染した可能性があげられます。
脳関門は脳に繋がる血管のフィルターとしての機能がありますが、いくつかのウイルスは関門を突破する能力があります。
重症化したインフルエンザウイルスの感染患者では、脳関門を突破してウイルスが脳内で増殖することが知られています。
続きはソースで
https://nazology.net/archives/58391
続きを読む
しかし感染者が増えるに従って、呼吸器系や血管系(循環系)とは異なる「神経系の症状」がみられるケースが増加しています。
そこで、複数の研究チームが新型コロナウイルスが脳に感染するかどうかを調べた結果、鼻腔や肺の神経を遡って中枢神経に到達するほか、脳関門を突破して血管から脳へ侵入する能力があることが示唆されました。
また中国では、重症化した人間の3人に1人が不注意や見当識障害から、排尿が困難になるなどの後遺症が報告されています。
脳への感染を示唆する3つの研究報告

2月27日、中国の研究者によって新型コロナウイルスが脳に感染する可能性が言及されました。
かつて流行したSARSやMERSには脳に感染することが知られており、SARSやMERSと類似点が多い新型コロナウイルスにも神経系への感染力が疑われたからです。
4月10日には、感染者の約36%で神経症の症状がみられ、そのうち68%は中枢神経にかかわる深刻な症状を発症するとの報告があがります。
特に重傷者では顕著であり、脳血管症・脳卒中・意識障害・四肢のけいれんなどが発生しました。
また、急性脳血管症で緊急搬送され後にウイルス陽性が確定した何人かの患者には、典型的な新型コロナウイルスの症状(発熱や咳など)が全くみられませんでした。
これはウイルスが呼吸器系へのダメージよりも早く、脳でのダメージを広げていたことを示唆します。
この奇妙な事例がウイルスの変異、もしくは患者の遺伝的特性によるものなのかはまだわかっていません。しかし、もし変異によるウイルスの新たな特性であるならば、ウイルスがメインターゲットを呼吸器系や血管系から中枢神経へと切り替え、重大な強毒化が起きたことになります。
4月15日には、ウイルス感染により神経症を発生させた患者の後遺症についての研究報告もあがってきました。
この研究でも、重症患者で神経症が高い確率で発症した点に言及したほか、重症化した患者の3割が退院後も不注意や見当識障害から、トイレで排尿を正しく行えなくなるなどの、深刻な後遺症が発生したことを報告しました。
ウイルスにより脳がダメージを受ける仕組み
生活習慣病を抱えていたり高齢である場合は、ウイルスが破壊した血管で形成される血栓に対して脳は脆弱になり、脳梗塞を起こしやすくなる/Credit:富士脳障害研究所附属病院
上にあげたように、複数の研究でウイルスが脳にダメージを与えることがわかりました。
ウイルスが脳へダメージを与える仕組みとして考えられているものには、次の3パターンが存在します。
1つ目は、ウイルスが血管に感染したことで血管が損傷して血栓を生成され、それが脳血管をつまらせた可能性です。
これは現在最も広く知られている事例です。特に生活習慣病をもつ人や高齢者など、血管が弱っている人はウイルスの血管に対する攻撃に脆弱で、より多くの血栓を生成してしまいます。
画像は人間の壊死を起こした脳。マウスを使った実験では鼻腔の神経を遡ってウイルスが脳に到達したことがわかっている/Credit:Clinical Infectious Diseases
また第2には、ウイルスが鼻腔や肺の神経から遡って脳に到達した可能性です。
これは新型コロナウイルスの仲間であるSARSやMERSが脳に侵入するためにとった手段と同じです。
SARSやMERSの患者の脳細胞からは実際にウイルス粒子が検出されました。
新型コロナウイルスはSARSやMERSと同じ種類のウイルスであり、ゆえに侵入方法も同じ可能性があります。
またウイルス感染により、多くの重症者から自律的な呼吸能力が失われることが知られており、呼吸を制御する脳幹にウイルスが感染している可能性も示唆されています。
そして第3には、ウイルスが脳関門を突破して血管から脳に感染した可能性があげられます。
脳関門は脳に繋がる血管のフィルターとしての機能がありますが、いくつかのウイルスは関門を突破する能力があります。
重症化したインフルエンザウイルスの感染患者では、脳関門を突破してウイルスが脳内で増殖することが知られています。
続きはソースで
https://nazology.net/archives/58391